Ortodonti

Ortodonti, alt-üst çene ile yüzün alt bölgesindeki anomaliler ve diş pozisyonlarının düzeltimini konu edinen diş hekimliği alanıdır.

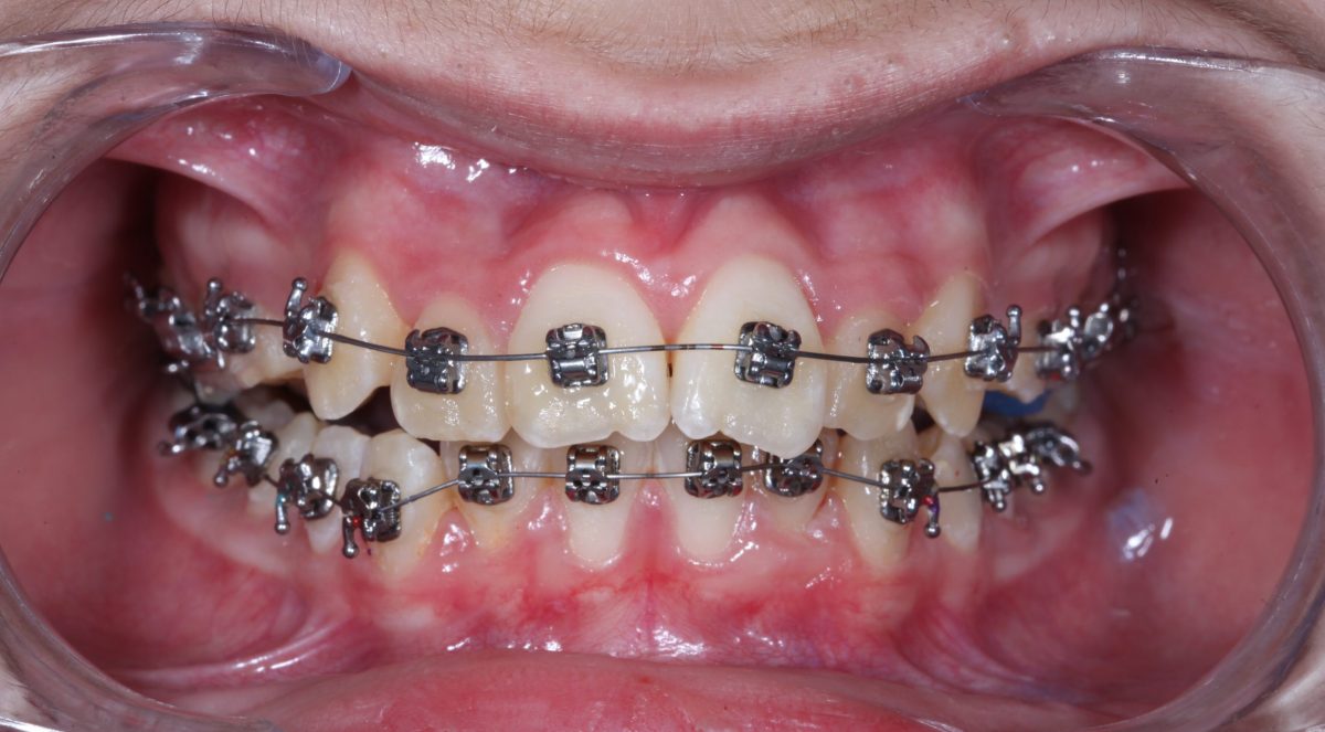
Impladent_OrtodontikTedavi01 2
ortodonti tedavisi görseli

Ortodonti Tedavi Süreci Nasıldır?

Ortodontik tedaviye adaptasyon süresinin kolay olması açısından genellikle önce üst çenenin tedavisine başlanır. Bir kaç hafta sonra da alt çenenin tedavisine başlanır. Tedavi 4-5 haftalık kontrol randevuları ile takip edilir. Tedavi sürecinde teller, braketler veya plaklarla dişlerin istenilen konuma gelmesi sağlanır. Alt ve üst çenenin birbiri ile uyumu ve iki çenede yer alan dişlerin konumunu korumak için tedavi süresinde lastik kullanılmaktadır. Lastikler, hasta tarafından takılıp çıkartılmaktadır. Ancak ortodontistin önerdiği saat dilimi kadar takılması tedavinin genel başarısını etkiler. Takılmadığında dişler eski pozisyonuna dönmeye başlar. Tedavi esnasında sert veya yapışkan yiyecekler braketlerin kopmasına neden olmaktadır. Kopan braket ağız içinde yaraya neden olmaktadır. Fark edildiği anda ortodontiste görünülmesinde fayda vardır.

Pekiştirme Tedavisi Nedir?

Ortodontik tedavinin hemen sonrasında, yani apereyler çıkarıldıktan sonra dişler eski yerlerine dönmeye çalışırlar. Ortodontik tedavi sonunda dişleri oldukları yerde sabit tutmak için uygulanan tedaviye pekiştirme tedavisi denir. Pekiştirme tedavisi üst ve alt kesici dişlerin arkasına, dışarıdan görülmeyecek şekilde ince bir tel takılarak uygulanır. Ya da şeffaf pekiştirme plakları hazırlanır. En az 5 sene bu tellerin ve/veya plakların ağızda kalması önerilmektedir.. Bu teller, önden bakıldığında görünmezler ve birkaç gün içinde bu tellere alışılır. Pekiştirme tedavisi döneminde, 6 aylık randevularla ortodontist kontrolünde olunması önerilmektedir.

pekiştirme tedavisi görseli

Merak Ettikleriniz?

Ortodonti Nedir?

Ortodonti, alt-üst çene ile yüzün alt bölgesindeki anomaliler ve diş pozisyonlarının düzeltimini konu edinen diş hekimliği alanıdır.

Ortodontik Rahatsızlık Neden Oluşur?

Ortodontik rahatsızlıklar kalıtsal ya da sonradan oluşabilir. Dişlerin diziliminin sonradan bozulmasına bebeklik döneminde uzun süre emzik kullanılması, parmak emme alışkanlığı veya süt dişlerinin erken kaybedilmesi neden olmaktadır. Bu nedenle erken kaybedilen süt dişlerinin yerine yer tutucu önerilmektedir.

Ortodontik Tedavi İçin Yaş Sınırlaması Var Mıdır?

Ortodonti tedavisi için yaş sınırlaması bulunmamaktadı. Ortodontik tedavi, küçük çocuklarda çene gelişimine yardım ederek dişlerin doğru pozisyonlanmasını sağlarken, yetişkinlerdeki çapraşıklık ve kapanış düzensizlikleri ile çene, yüz bozukluklarının düzeltilmesini sağlar. Çapraşık dişler, ilkokul döneminde konuşma ve okuma bozukluklarına neden olup çocuğun okul başarısını olumsuz etkileyebileceğinden, 6 yaşından itibaren ortodonti muayenesi önerilmektedir.

Ortodonti Tedavisine Başlamadan Önce Yapılması Gerekenler

Ortodontik tedaviye başlamadan önce ağız bakımının eksiksiz yapılmış olması tedavi sürecininin rahat geçirilmesini sağlar. Bu nedenle tedavi öncesinde; *Genel muayene olunmasını ve ağızdaki çürüklerin temizlenmesini *Panoramik film ile gömülü ve çıkmış 20 yaş dişlerin değerlendirilmesini *Diş taşı temizliği ve diş eti problemlerinin önlenmesini önermekteyiz.

Ortodonti Tedavisinde Beslenme Nasıl Olmalıdır?

Tedavi esnasında beslenme alışkanlığı süreci çok etkilemektedir. Braket ve tellerin kopması, tedavinin süresini uzatan etkenlerdendir. Bu nedenle ortodonti tedavisinde; *Sert, kabuklu ve çekirdekli gıdalardan, *Lokum, karamel gibi yapışkan gıdalardan, *Asitli içeceklerden uzak durulmalı, *Yiyecekler ısırarak değil küçük parçalar halinde tüketilmelidir.

Tel Çıkması ya da Kopması Durumunda Ne Yapılabilir?

Ortodontik tedavi sırasında kullanılan ark telleri bazı durumlarda yer değiştirebilir. Bu yer değiştirme nedeniyle ark telleri yumuşak dokuya batabilir. Bu tür durumlarda hekimden randevu aldıktan sonra tele bir silgi ile yön verebilir veya hekim tarafından verilen ortodontik mum ile üzerini kapatabilirsiniz.

Sıkça Sorulan Sorular Resmi